CATCH PROBLEMS EARLY AND START ON A
BEAUTIFUL, HAPPY SMILE!
Children’s Orthodontics
Early evaluations = fewer problems later
The American Association of Orthodontists (AAO) recommends that all children between the ages of 7 and 8 have an initial orthodontic screening. Early assessment helps identify and correct potential issues while kids jaws are still developing, and adult teeth are coming in. An Orthodontist is looking for different things than your pediatric dentist. As permanent teeth come in, bite or jaw issues often get worse-not better. You should check in with an Orthodontist around the time the Tooth Fairy is visiting on a regular basis!
Let us help you determine the right treatment at the right age! That's why we make these early-care checks FREE to ensure your child's smile grows as beautifully as they do!

Benefits of early care:
- Monitor space as larger teeth come in
- Track jaw and bite development
- Prevent future alignment issues
- Support for parents every step of the way
- Improved self-esteem at an earlier age
- X-Rays of whole mouth - sometimes, at this age, issues aren't visible
Fill out this form to find out more about the Growth Guidance Program and you'll hear from a member of our team to make sure your child gets timely care.
NO DENTIST REFERRAL NEEDED!
IF YOU ARE A CURRENT OR FORMER PATIENT, PLEASE CALL OUR OFFICE DIRECTLY AT (707) 575-0600.
"*" indicates required fields

5-STAR CARE
KIDS (and parents) ARE WILD ABOUT US! JUST CHECK OUT OUR REVIEWS
MEET
STEFANIE
"The way the whole office works, it flows really well, and you always see the doctor and he's always really friendly, and asks questions. Just a really great experience!"
I am so incredibly happy that I chose Bernstein Orthodontics to treat my daughter. Dr Bernstein himself was thorough and exceptional with his care. He even noticed an odd spot on my daughters X-ray and sent it over to an oral surgeon for a second opinion. I wouldn’t hesitate to recommend Bernstein Orthodontics to anyone looking to improve their smile.
REBECCA T.
Truly the best. Bernstein Orthodontics has helped my entire family. We all have beautiful smiles, healthy teeth and so happy we chose them. Thank you so much for everything.
DUSTIN S.
We have had the pleasure of being with Dr. Bernstein for over 10 years! He has "straightened" out all 4 of our kiddos. Highly recommend!
GABRIELLA M.
Dr. Bernstein is the best…my son was so happy with the way his teeth came out. He can’t stop staring in the mirror. Thank you Dr. Bernstein!!
ADAM C.
WHY CHOOSE BERNSTEIN ORTHODONTICS?
IT’S NOT ONLY AN ORTHODONTIC OFFICE—IT’S AN EXPERIENCE!
YOU’LL BE WILD ABOUT Your Child's New Smile
Step into a full-on African safari adventure, inspired by Dr. Bernstein’s roots. From the moment you walk through the door, you’ll be greeted by giraffes, elephants, crocodiles—even piranhas! And don’t forget to look up… you never know who might be dropping in!
But it’s not just the atmosphere that sets us apart. When you choose Bernstein Orthodontics, you're choosing a practice led by one of the most respected early orthodontic treatment experts in the field. Dr. Bernstein is a nationally recognized orthodontist who speaks and teaches, primarily on early treatment, at conferences across the country, shaping the future of the profession. He even has a patented early treatment bracket and system called the BerniTube!
When Dr. Bernstein had braces as a kid, he remembers them being painful and uncomfortable. He vowed to modernize the way orthodontics was done for kids in Phase 1 treatment and to eliminate the need for headgear and fixed expanders like he had when he was a kid.
He developed and patented the Berni-Tube Phase 1 System which uses the latest brace technology to widen the dental arches and make space for emerging teeth - without uncomfortable fixed expanders and without pulling teeth out. The use of Berni-Tubes lead to more comfortable, efficient, and effective interceptive treatment.
Modern Expansion
Berni-Tube Technology
Gentle Arch Wire Expansion
Traditional Expansion
Rapid Palatal Expander
Uncomfortable with Heavy Forces
MEET THE BERNSTEIN TEAM
At Bernstein Orthodontics, we’re all about good vibes, great smiles, and getting to know you. Our bilingual team is not just super skilled—they’re also fun, friendly, and love making your visits the best part of your day. From day one, you’ll walk out with a game plan, feel totally in the loop, and know exactly how we’ll help you rock that new smile you’ll be WILD about!
YOU’LL GO WILD FOR OUR OFFICES!
Our offices are state-of-the-art, clean, fun, bright and warm! You’ll be loving the fun safari vibe from the minute you walk through the door! From the friendly staff, to the comfy chairs and wild atmosphere, we want to make you feel welcomed and comfortable and make the experience as fun and easy as possible for you and your kids.
Santa Rosa Office
Bernstein Orthodontics
2245 Montgomery Dr.
Santa Rosa, CA
Phone Number
(707) 575-0600
Windsor Office
Bernstein Orthodontics
8741 Brooks Rd. South
Windsor, CA
Phone Number
(707) 836-8360
MEET YOUR ORTHODONTISTS
Meet Dr. Rael Bernstein
Proudly Serving the Santa Rosa & Windsor Communities Since 2002!
Orthodontist
Dr. Bernstein was born and raised in South Africa and attended the prestigious Wits Dental School, where he finished at the top of his class. He then completed his orthodontic specialty residency at the State University of New York at Buffalo.
After his residency, he accepted a university fellowship position, where he became a clinical assistant professor in the orthodontic department.
He yearned for a climate similar to South Africa and decided to relocate to Southern California, where he met his wife, Debbie, also a dental specialist.
He opened his first orthodontic practice shortly after.
Dr. Bernstein is committed to excellence in orthodontics. He has lectured nationally on self-ligation and early interception treatment to other orthodontists and dentists. He strives to provide the latest and greatest to all of his patients in a friendly, upbeat atmosphere.
In his spare time, Dr. Bernstein enjoys racing go-karts, working out, snowboarding in winter, and devoting himself to his wife and two daughters.
Meet Dr. Monique Heron
Orthodontist
Dr. Monique Heron-Carmignani was born and raised in Occidental, California. She completed her undergraduate training with a Bachelor of Science in Biology from the University of San Francisco followed by receiving her Doctor of Dental Medicine from Arizona School of Dentistry and Oral Health in Mesa, Arizona. She then went to Howard University in Washington, DC for her specialty and completed a Certificate in Advanced Education in General Dentistry and a Certificate in Orthodontics. She is board-certified by the American Board of Orthodontics.
Dr. Heron is happy to be back home in Sonoma County and be helping her community get the smile of their dreams by creating individualized treatment plans that deliver the best results. She knows that a great smile can help boost self-esteem and change a person’s life.
In her spare time, Dr. Heron enjoys spending time with her family and friends, working out, and cooking. She also loves traveling but is excited to be back in Sonoma County to enjoy all the local hiking trails and world-class restaurants.
EARLY TREATMENT FAQ'S
Insurance & Finances
Dr. Bernstein became an Orthodontist because as a kid, he learned the life-changing effects that having a smile you are confident about can have. He was so passionate about the benefits of braces and a great new smile, that he dedicated his career to giving that confidence and opportunity to others. He also believes that great smiles should be comfortable, easy and AFFORDABLE!
He believes everyone deserves a beautiful, confident smile, especially if it can start at a young age. That means that finances shouldn’t be an obstacle to reaching that smile or enjoying great orthodontic care.
The total cost of early treatment varies depending on treatment complexity and type and the need for a second stage of treatment after the early treatment goals have been achieved. Many parents are pleasantly surprised to learn that here at Bernstein Orthodontics we are able to make your child’s early treatment more affordable than
expected.
Get a wide range of financing options for early treatment, including:
-
- 0% interest financing
- No large down payment required
- Flexible monthly payments to fit your family's budget
- Most PPO insurance plans accepted
- A Referral Program to skip a Payment when you refer your friends
For your convenience, we accept Visa, MasterCard, American Express, and Discover. We also offer an online account management service to easily make payments and keep track of your appointments.
ORTHODONTIC INSURANCE
Our office makes every effort to make orthodontic treatment affordable and accessible, which means working with your insurance plan to maximize coverage. We accept most PPO Insurance Plans and will file claims on your behalf.
Please make sure you provide us will all your insurance information prior to your first visit, so we can verify how much your plan will cover.
If you have any questions, please ask us. Our financial team stays up-to-date on insurance policy changes and can answer any questions you may have.
EARLY TREATMENT PROCESS
Bernstein Kid’s Growth Guidance Program
Get started with this program to help track your child’s jaw growth and bite development over time. Joining this program means your child will come for free visits, where we may take orthodontic records and X-rays. The Doctor will help you determine the best time to start treatment, if needed, saving you time and money.
When younger children need early interceptive treatment, we separate orthodontic treatment into two phases, with each stage beginning at the appropriate time.
Phase 1
Phase 1 typically starts when kids are 7-10 years old. The goal of this phase is to create expansion and make room in the mouth and jaw for new teeth to come in. Phase 1 can take anywhere from 12-18 months. Dr. Bernstein always says that as kids teeth grow in it’s a lot like trying to fit a SUV into a compact parking spot! Phase 1 treatment gives that “SUV” a larger space to fit into!

Phase 2
After a resting period to let your child’s teeth grow in completely, Phase 2 can begin, if needed. Phase 2 treatments usually start between age 12-14 years. The treatment takes up to 18 months to complete.
The Benefits of Starting Treatment Early include:
- Less need to pull teeth
- Less time in full braces
- Improved self-image
- Less need for jaw surgery
- Broader, fuller smile
- Improved function
- Improved nasal airway
ABOUT OUR 2 TREATMENT PHASES
When younger children need early interceptive treatment, we separate orthodontic treatment into two phases, with each stage beginning at the appropriate time.
Phase 1
- Ages 7-10 years
- Active treatment for 12-18 months
Before Phase 1
Resting Period
- Ages 10-12 years
- Retainers for 12-24 months
After Phase 1
Phase 2
- Ages 12-14 years
- Active treatment for 12-18 months
After Phase 2
Learn More at Your Free Consultation
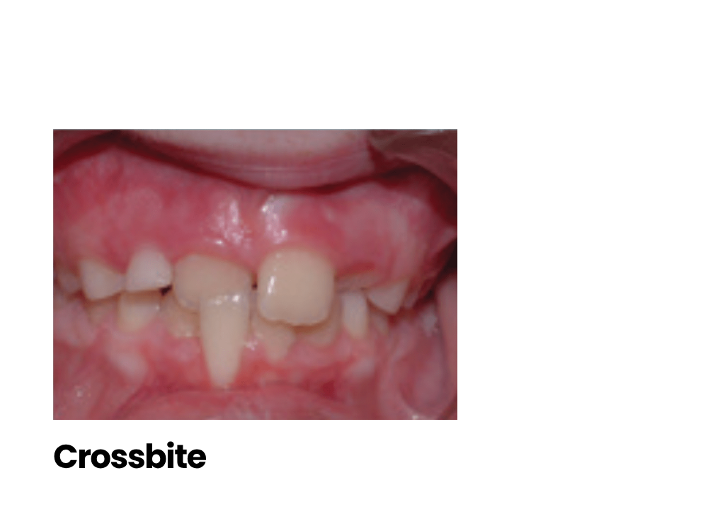
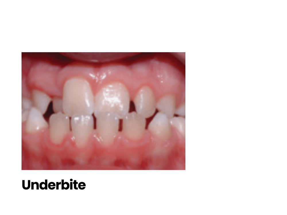
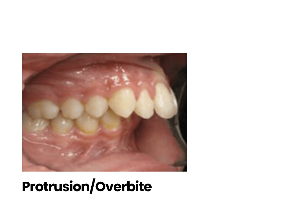
If your child has a dental issue, please contact us by setting up a free consultation.
We can talk about your child's orthodontic options and develop a treatment plan customized to your child's needs.
REQUEST YOUR FREE CONSULTATION TODAY!
Schedule your free consultation exam. Just fill out this quick form and our team will call you to find a time that works for you!
If you are a current or former patient, please contact our office directly at (707) 575-0600.
Proudly Serving Santa Rosa, Windsor & the surrounding SONOMA County!
Come Visit our Offices in Santa Rosa or Windsor! We are proud to serve patients throughout Sonoma County, including the communities of Windsor, Santa Rosa, Rincon Valley, Bennett Valley, Larkfield-Wikiup, Sebastopol, Healdsburg, Calistoga, Rohnert Park, Cotati, Petaluma, Guerneville, Cloverdale, Occidental, Graton, Forestville, Fulton and beyond.


