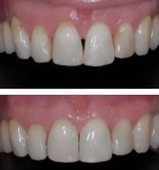
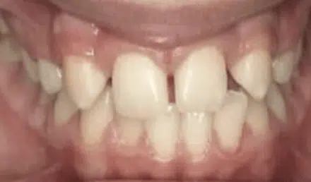
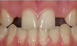
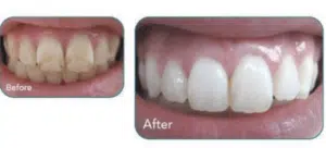
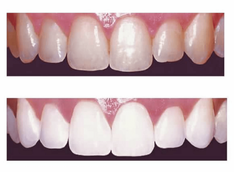
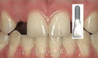
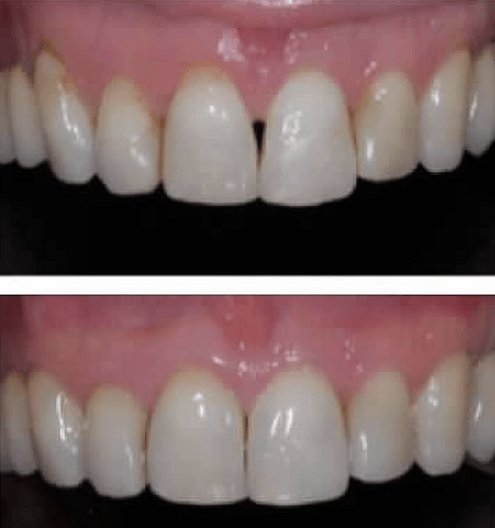
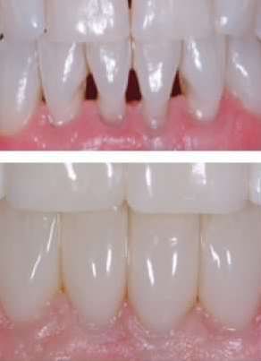
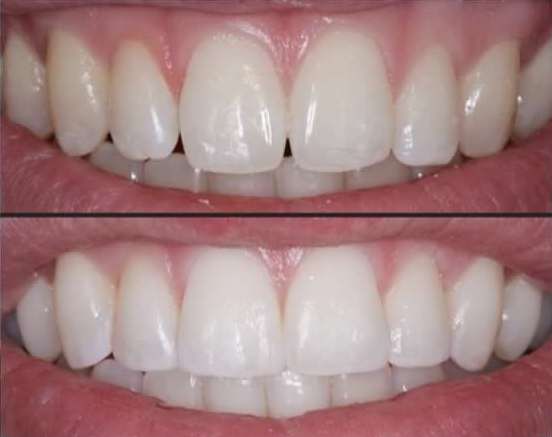
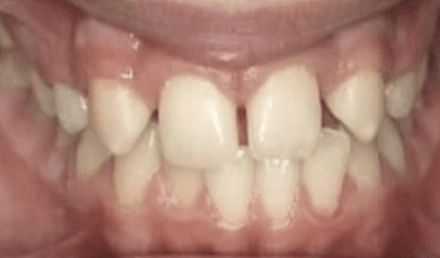
Enhance Your Smile After Braces
Nothing boosts your confidence quite like a bright, healthy smile.
These before and after photos showcase the results you can get from cosmetic dental procedures after your braces treatment at Bernstein Orthodontics.
Talk to your primary care dentist to put the finishing touches on your new Bernstein smile based on the size and shape of your teeth and gums.
















